CMV-Kolitis nach Stammzelltransplantation: neue Einblicke in Ursachen und Therapieansätze

Verantwortliche Personen:
AG Kraus – Medizinische Klinik und Poliklinik II, Universitätsklinikum Würzburg
Ag-Kraus-Gruppenbild-Jpeg

Abbildung 1: Teamfoto der AG Kraus

 

TEAM

 

Die AG Kraus ist ein junges, interdisziplinär aufgestelltes Forscherteam an der Medizinischen Klinik und Poliklinik II. Neben der Arbeitsgruppenleiterin, PD Dr. med. Sabrina Kraus, gehören dem Team zwei Postdoktoranden, zwei Doktoranden, drei medizinisch-technische Assistentinnen, eine Clinician Scientist sowie eine studentische Hilfskraft an. Ärztliche, naturwissenschaftliche und technische Expertise arbeiten dabei eng verzahnt zusammen.

Abbildung-1
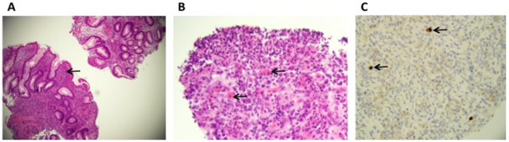
Abbildung 2: Histologie des Darms von Patienten mit CMV-Kolitis nach allogener Stammzelltransplantation

 

Motivation und Innovation

 

Die allogene Stammzelltransplantation ist für viele hämatologische Erkrankungen wie akute Leukämien, Lymphome und Myelome die einzige Heilungsmöglichkeit. Trotz Fortschritten in den letzten Jahren gibt es weiterhin Risiken, die den Behandlungserfolg gefährden können. Nach der Transplantation ist das Immunsystem der Patienten geschwächt, was sie anfällig für lebensbedrohliche Infektionen macht, die für gesunde Menschen meist ungefährlich sind. Insbesondere können Reaktivierungen des humanen Zytomegalievirus (CMV) zu schwerwiegenden Komplikationen führen. Die AG Kraus beschäftigt sich intensiv mit dem Ziel die Häufigkeit und Schwere von CMV-Infektionen bei Patienten nach allogener Stammzelltransplantation zu reduzieren und durch einen klinisch-translationalen Ansatz des Projektes neue diagnostische und therapeutische Ansätze zu entwickeln um einen unmittelbaren Nutzen für die Patienten zu erzielen.

Abbildung-2
Abbildung 3: Endoskopisches Bild einer CMV-Kolitis nach allogener Stammzelltransplantation

 

Welche Ziele verfolgt das Projekt?

 

Nach einer allogenen Stammzelltransplantation kommt es bei vielen Patienten zu einer Reaktivierung von CMV. Während dies bei manchen Patienten ohne Beschwerden verläuft, kann das reaktivierte Virus in anderen Fällen schwere Organschäden auslösen. Besonders häufig kommt es dabei zu einer CMV-verursachten Entzündung des Darms (CMV-Kolitis), die lebensbedrohlich sein kann. Das Projekt soll dazu beitragen, besser zu verstehen, warum CMV bei manchen Patienten nach allogener Stammzelltransplantation im Darm eine schwere Entzündung auslöst. Im Mittelpunkt steht dabei die Frage, weshalb das Immunsystem das Virus nicht ausreichend kontrollieren kann und welche Faktoren im Darm die Reaktivierung des Virus begünstigen oder hemmen.

Abbildung-3
Abbildung 4: Schematische Darstellung der geplanten Analysen

 

Ansatz des Forschungsprojektes

 

Zur Beantwortung dieser Fragen wird Darmgewebe von Patienten nach einer allogenen Stammzelltransplantation untersucht. Mithilfe moderner molekularbiologischer Methoden soll detailliert analysiert werden, welche Zellpopulationen an den Entzündungsprozessen beteiligt sind und wie sie zur Entstehung der Entzündung beitragen. Ziel ist es, die Mechanismen der CMV-Kolitis bei Patienten nach einer Stammzelltransplantation besser zu verstehen und daraus neue Ansätze für Diagnostik und Therapie abzuleiten.

Welche Krebserkrankung soll behandelt werden?

 

Die Ergebnisse kommen allen Patienten nach einer allogenen Stammzelltransplantation oder neuen Immuntherapien zugute – unabhängig von der hämatologischen Erkrankung. Auch weitere Risiko-gruppen, etwa Organtransplantierte oder Menschen unter Immunsuppression, können profitieren.

Warum soll das Forschungsprojekt unterstützt werden?

 

Opportunistische Infektionen sind nach einer allogenen Stammzelltransplantation ein großes Problem und können zu tödlichen Komplikationen führen. Ein besseres Verständnis der Ursachen und eine verbesserte Früherkennung können die Überlebenschancen der Patienten deutlich erhöhen. Dieses Forschungsprojekt zielt darauf ab, eine wichtige Lücke in der Diagnose und Behandlung von Patienten nach einer allogenen Stammzelltransplantation zu schließen und die gewonnenen Erkenntnisse schnellstmöglich in der klinischen Praxis umzusetzen.

Unsere Webseite verwendet Cookies und Google Analytics um dir das bestmögliche Nutzererlebnis zu garantieren. Mehr Infos erhältst du in unserer Datenschutzerklärung.